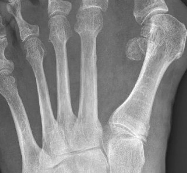
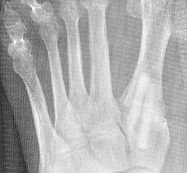
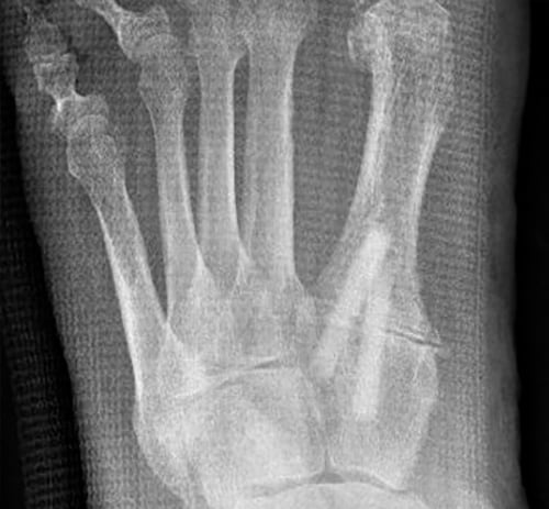
The following case documentation shows the pre- and postoperative course of a hallux valgus correction. The patient suffers from a pronounced severe hallux valgus (hallux valgus angle: 48°) with metatarsus primus varus (intermetatarsal angle: 21°). The corrective procedure is a TMT I osteotomy and lapidus arthrodesis with 2 Shark Screw® grafts (diameter: 5.0mm). Chiseling of the exostosis via MT I, reduction of the sesamoid bones and cerclage fibreux at the metatarsophalangeal joint is performed. Already after six weeks, a very good build-up is recognizable and full weight-bearing without crutches is possible.

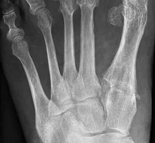
X-ray image preoperatively
Pronounced severe hallux valgus with metatarsus primus varus

X-ray postoperatively ap
Correction by TMT I osteotomy and lapidus arthrodesis with 2 Shark Screw® grafts

6 weeks postoperatively
Beginning to build through the osteotomy

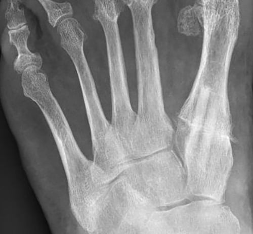
6 months postoperatively
Bone screw grafts partially remodeled into own bone

9 months postoperatively
Bone screw grafts only rudimentarily visible. Installation and remodeling without osteolyses

1 year postoperatively
Bone screw grafts have fused with the recipient bone. Radiologically no longer recognizable
Clinical case of Dr. Klaus Pastl, Linz in Austria. TMT I osteotomy and lapidus arthrodesis with 2 Shark Screw® grafts (documentation period 2016-2017) © surgebright GmbH

