Ein Leben mit Pseudarthrose, eine Vorstellung die für viele Menschen ein absoluter Albtraum ist. Muss man wirklich mit einer Pseudarthrose leben, oder gibt es Möglichkeiten, eine Pseudarthrose zu heilen? In diesem Artikel über die Pseudarthrose – also nicht heilende Knochen – von Dr. Klaus Pastl aus Linz, Facharzt für Orthopädie, Fußchirurgie und Handchirurgie, erfahren Sie alles über die anfänglichen Symptome, Ursachen und welche Behandlungsmöglichkeiten Ihnen und Ihrem Chirurgen zur Verfügung stehen, um Ihre Pseudarthrose zu heilen. Er erklärt, welche Behandlungsmöglichkeiten möglich sind und welche Materialien bei Operationen von Pseudarthrosen eingesetzt werden können. So haben sich in der Vergangenheit Allografts (humane Knochen aus Gewebebanken), sowie der Einsatz von Schrauben aus menschlichem Knochen, wie der Shark Screw® zur operativen Behandlung von Pseudarthrosen bewährt. Aber auch konservative Methoden wie eine Stoßwellen-Therapie kommt bei nicht heilenden Knochen oder nicht heilenden Knochenbrüchen in Frage.
Lesedauer: 4 min
Autor des Artikels: Dr. Klaus Pastl
Fußchirurg und Pseudarthrosen Spezialist in Linz
Der Autor ist ein ausgewiesener Spezialist in Österreich für Fußchirurgie.
Aktualisiert am 12.09.2022
Definition Pseudarthrose – was versteht man darunter?
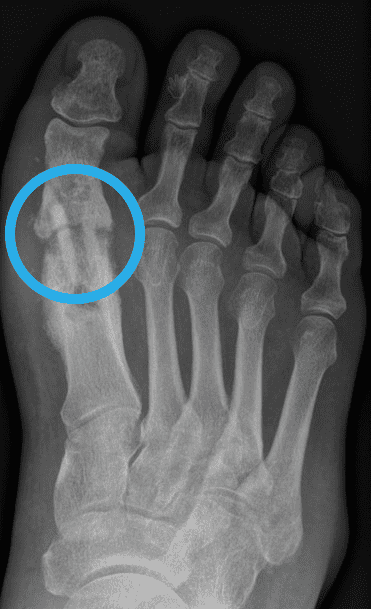
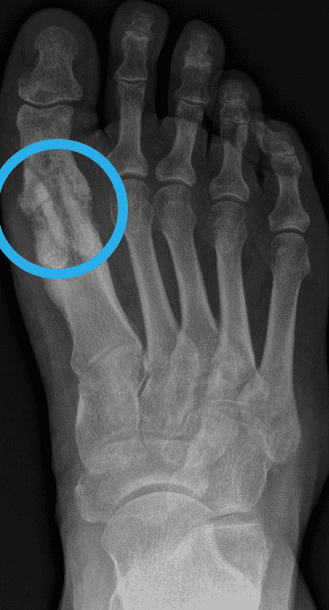
Was ist eine Pseudarthrose? Wenn es 6 Monate nach einem Bruch nicht zur Heilung des Knochens gekommen ist, spricht man laut Definition von einer Pseudarthrose. Zur Heilung werden bei Operationen in der Regel Schrauben aus menschlichem Knochen verwendet. Das Wort Pseudarthrose stammt aus dem Griechischen, wobei „pseudos“ falsch bedeutet und „arthros“ Gelenk. Eine Pseudarthrose ist auch unter den Namen Pseudogelenk oder Scheingelenk bekannt. Pseudarthrosen treten immer nach einem Knochenbruch oder einer Knochenoperation auf, wenn der Knochen nicht richtig verheilt, die Knochenstücke nicht zusammenwachsen. Solange der Knochen nicht vollständig geheilt ist, kann er auch nicht richtig belastet werden. „Auslöser einer nicht heilenden Fraktur ist meist eine zu frühe Belastung, aber auch Entzündungen und Infektionen können den Knochenheilungsprozess einschränken. Der Knochen wächst nach einem Bruch nicht zusammen und in der Folge entsteht die Pseudarthrose.“ So der Experte aus Linz, Dr. Klaus Pastl. Pseudarthrosen können an jedem Knochen, der nicht verheilt, auftreten, egal ob es sich um eine nicht heilende Mittelfuß- Operation, eine fehlgeschlagene Hallux rigidus Operation oder eine nicht heilende Operation nach einem Kahnbeinbruch handelt. Tritt eine Pseudarthrose auf, muss diese behandelt werden.
Hypertrophe-, atrophe- und andere Pseudarthrosearten
Pseudarthrosen können in 3 Kategorien eingeteilt werden:
- Hypertrophe-/ atrophe- Pseudarthrose: Bei der hypertrophen Pseudarthrose besteht eine Vermehrung von Knochen- und Knorpelgewebe im Bruchspalt, bei der atrophen Pseudarthrose eine Verminderung.
- Vitale / Avitale Pseudarthrose: Bei der vitalen Pseudarthrose besteht eine Instabilität der Fraktur, die Bildung von Blutgefäßen (Vaskularisation) ist aber gegeben. Bei der avitalen Pseudarthrose besteht eine Instabilität der Fraktur in Kombination mit einer schlechten Durchblutung.
- Infekt-Pseudarthrose: Von einer Infekt-Pseudarthrose spricht man, wenn bei einer fehlenden Konsolidierung der Knochenfragmente zusätzlich eine bakterielle Infektion besteht.
Eine Pseudarthrose kann sowohl nach einer konservativen (ohne Operation) als auch nach einer operativen Behandlungen auftreten. Pseudarthrosen sind keine Seltenheit. Studien zufolge treten Pseudarthrosen bei 3 – 10 % aller Patienten nach einer Knochenfraktur auf.1 Vorkommen kann sie in jedem Alter, sowie bei Frauen und Männern. Je höher das Alter des Patienten ist, in dem eine Pseudarthrose auftritt desto schlechter wachsen die Knochenfragmente wieder zusammen.
„Bei der Operation einer Pseudarthrose haben sich Schrauben aus menschlichem Knochen bewährt.“ Dr. Klaus Pastl – Pseudarthrose Spezialist in Österreich.
Symptome einer Pseudarthrose
Ein eindeutiges Anzeichen einer Pseudarthrose ist, wenn die Knochenbruchenden innerhalb von 4 – 6 Monaten nicht stabil zusammengewachsen sind. Weitere typische Symptome einer Pseudarthrose sind Rötungen, Schmerzen und Schwellungen über dem nicht geheilten Knochenbereich. „Da durch die Pseudarthrose die Stabilität des Knochens stark beeinträchtig ist, treten häufig Fehlstellungen, Bewegungseinschränkungen, Gelenksprobleme aber auch Muskelschwund in der betroffenen Region auf.“, erklärt Dr. Klaus Pastl, Orthopäde aus Linz. Bei den meisten Betroffenen treten Schmerzen anfangs nur bei Bewegung und Belastung auf. Schreitet die Pseudarthrose fort, treten die Schmerzen und Symptome aber auch in der Ruhephase auf. Tritt eine Pseudarthrose nach einer Implantation von Metallschrauben oder Metallplatten auf, ist ein zu spätes Reagieren besonders gefährlich. Heilt der Knochen nicht rechtzeitig, lastet das gesamte Gewicht auf den Metallplatten und Metallschrauben. Diese können durch die Belastung brechen. „Gebrochene Metallteile im Körper können äußerst schmerzhaft für Patienten sein. Auch für den Chirurgen sind diese Operationen äußerst unangenehm und schwierig. „Operationen sind mühsam und komplex. Oft muss viel Knochen zerstört und die umgebenden Weichteile verletzt werden, um die gebrochenen Metallteile aus dem Knochen des Patienten zu bergen. Manchmal können nicht alle Metallteile entfernt werden und müssen dann im Knochen verbleiben. Das ist frustrierend, für Patienten und Chirurgen.“
Die Behandlung einer Pseudarthrose kann ein langwieriger Prozess sein und kann sich oft über Monate ziehen. Meist kommt zur erfolgreichen Behandlung einer Pseudarthrose nur eine Operation in Frage. Gute Chancen auf eine Heilung haben Patienten, die mit Schrauben aus menschlichem Knochen versorgt werden.
Sie selbst leiden an einer Pseudarthrose und möchten von einem Spezialisten wissen, ob diese geheilt werden kann? Gerne empfehlen wir Ihnen einen Spezialisten in Ihrer Nähe. Vertraulich und kostenlos.
Pseudarthrose Heilungsschancen
Pseudarthrosen sind nach einem Unfall oder einer Operation keine Seltenheit. Aber wie gut sind die Heilungschancen einer Pseudarthrose, wenn man eine solche hat? „Eine gute Chance auf eine Heilung hat man als Patient, bei konservativen Therapien aber auch bei operativen Therapien. Bei konservativen Therapien, wie der Stoßwellentherapie, sind die Heilungschancen zwischen 50% – 85%. Lässt sich damit keine Heilung erzielen, ist eine Operation das Mittel der Wahl. Hier haben sich Schrauben aus Knochen bewährt. Je nach Anwendungsgebiet liegen hier die Heilungschancen deutlich höher“ so der Pseudarthrose Spezialist Dr. Klaus Pastl aus Österreich.
Pseudarthrose Therapie & Behandlung
Welche Behandlungsmöglichkeit bzw. Therapie sich am besten eignet, hängt von der jeweiligen Form der Pseudarthrose ab. Grundsätzlich unterscheidet man aber unter einer konservativen Therapie der Pseudarthrose und einer Operation der Pseudarthose.
Konservative Pseudarthrose Therapie
Eine Konservative Therapie kommt in Frage, wenn Patienten nur unter geringen Schmerzen leiden und eine Heilung ohne Operation möglich erscheint. Zudem sollte die Pseudarthrose erst seit kurzem bestehen. Eine Möglichkeit eine Pseudarthrose konservativ zu therapieren ist die Stoßwellen- Therapie.2
Die Pseudarthrose Operation
Eine Pseudarthrose Operation ist unbedingt erforderlich, wenn konservative Therapien nicht die gewünschten Ergebnisse bringen und die Schmerzen weiterhin bestehen. In der Folge sind mögliche Pseudarthrose Operationen aufgelistet:
- Einbringen von Spenderknochen (Allograft) in den Bruchspalt:
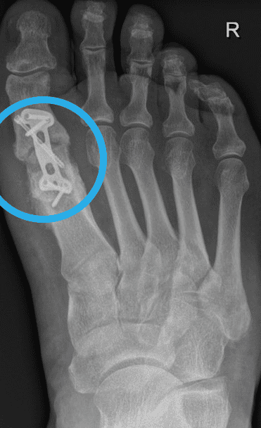
- Hierbei handelt es sich um Allografts und Schrauben aus menschlichem Knochen wie der Shark Screw®.
- Knochenverbindende, Osteosynthese
- Als Osteosynthesematerial werden in der Regel Schrauben aus menschlichem Knochen Bei Pseudarthrosen an großen Röhrenknochen, können diese als Ergänzung zu bestehenden Plattensystemen eingesetzt werden.
- Entfernung des abgestorbenen sowie infizierten Gewebes
- Bei einem Teil der durchgeführten Pseudarthrose Operationen, muss der Pseudarthrose Spalt eröffnet und das abgestorbene Material entfernt werden, damit neuer Knochen wachsen und entstehen kann. Im Anschluss wird der dadurch entstandene Knochenspalt mit Schrauben aus menschlichem Knochen und anderen Allografts aufgefüllt.
Sie sind auf der Suche nach einem Pseudarthrose Spezialisten in ihrer Nähe? Gerne empfehlen wir Ihnen unverbindlich und kostenlos einen Spezialisten, der Ihnen über mögliche Behandlungen Ihrer Pseudarthrose Auskunft geben kann.
Kann die Shark Screw® helfen eine Pseudarthrose zu heilen?
„Ich selbst setze Shark Screw® bei der operativen Versorgung meiner Patienten mit Pseudarthrosen sehr erfolgreich ein! Also ja, mit Shark Screw® hat man eine gute Chance Pseudarthrosen zuheilen.“ so der Pseudarthrose Spezialist Dr. Klaus Pastl aus Österreich. Aber warum eignet sich Shark Screw® gerade für Pseudarthrosen gut? Shark Screw® wird nach dem Einbringen in den Knochen von körpereigenen Zellen besiedelt, durchwachsen und dabei in den natürlichen Knochenumbauprozess integriert. Grund dafür sind die sogenannten Havers-Kanäle, die sich im Inneren der Shark Screw® befinden. „Shark Screw® dient bei Pseudarthrosen als Leitsubstanz und Brücke für körpereigene Zellen. In diesen Kanälen können sich körpereigene Gefäße und Knochenzellen ansiedeln und ausbreiten.3 Durch diesen Vorgang entstehen neue Knochenstrukturen, deren Neubildung gerade bei Pseudarthrosen essenziell sind, um diese zu heilen.
Erfahrungsbericht Pseudarthrose
Frau Nina Sternjak erzählt in diesem Video Ihre persönliche #sharkscrewstory und welche Erfahrungen sie bei der Behandlung Ihrer Pseudarthrose gemacht hat. Nina Sternjak erlitt einen Bruch am Handwurzelknochen (Os Lunatum) der nicht vollständig verheilte und somit zur Pseudarthrose und starken Schmerzen führte. Dank einer anschließenden Operation mit der Shark Screw®, heilte die Pseudarthrose rasch.
Frau Regina Falter spricht in diesem Video über ihre Erfahrungen mit ihrer Pseudarthrose nach einen schweren Radunfall. In ihrer persönlichen #sharkscrewstory blickt sie auf Ihren Heilungsverlauf zurück und erzählt ihre persönliche Geschichte.
Sie leiden an einer Pseudarthrose und wollen wissen, ob ein Shark Screw® Chirurg Ihnen dabei helfen kann, die Pseudarthrose zu beseitigen? Gerne helfen wir Ihnen kostenlos einen Pseudarthrose Spezialist in Ihrer Nähe zu finden.
Was sind die Ursachen einer Pseudarthrose?
Grundsätzlich wird bei der Pseudarthrose zwischen mechanischen und morbiden Ursachen unterschieden. Zur mechanischen Ursache zählt beispielsweise eine nicht ausreichend stabile Knochenverbindung nach einem Knochenbruch. Auch wenn der Knochenbruch zu früh wieder mobilisiert und/oder belastet wurde und somit zu kurz ruhiggestellt wurde, kann eine Pseudarthrose entstehen.
Zu den morbiden Ursachen zählen beispielsweise Nikotinabusus, Infekte, Gefäß-Erkrankungen oder Stoffwechselerkrankungen wie Diabetes.
Weitere Ursachen einer Pseudarthrose können sein:
- Eine zu frühe/übermäßige Belastung des Bruches
- Eine nicht ausreichende Stabilisierung (Kochenteile verschieben sich gegeneinander)
- Offene Brüche (Infekt-Pseudarthrose)
- Weichteile (können in den Knochenspalt geraten)
- Rauchen (Verminderung der Durchblutung)
- Hohes Alter (Heilungsprozess der Knochen wird mit zunehmendem Altem schlechter)
- Übergewicht (höhere Entzündungsaktivität)
- Zuckerkrankheit (Verminderung der Durchblutung sowie Knochenheilung)
- Medikamente (z.B. Kortison)
- Strahlenbelastung
- Schilddrüsenerkrankung
Wo kann Pseudarthrose überall auftreten?
Besonders anfällig für Pseudarthrosen sind die langen Röhrenknochen, dazu zählen Oberschenkel (auch Femur genannt), Schienbein (auch Tibia genannt), Oberarm (auch Humerus genannt) sowie Elle (auch Ulna genannt) & Speiche (auch Radius genannt). Auch Pseudarthrosen am Fuß oder an der Hand sind keine Seltenheit. So können diese nach einer Operation des Hallux valgus, des Hallux rigidus oder anderen Operationen am Fuß auftreten. Weitere Bereiche wo häufig Pseudarthrosen nach einer Operation auftreten können sind:
- Kahnbein (allgemein Handgelenk) – lies mehr über die Kahnbeinfraktur oder die Kahnbeinpseudarthrose im Kahnbein Artikel vom Kahnbeinpseudarthrose Spezialist Dr. Simon Sailer aus Österreich.
- Wirbelsäule
- Schulter oder Schlüsselbein
- Hüfte
- Wadenbein
- Mittelfuß / Mittelfußknochen
- Sprunggelenk
- Innen-/Außenknöchel
FAQs
Wie wird eine Pseudarthrose diagnostiziert?
Die Diagnose einer Pseudarthrose wird über Röntgenbilder gestellt. Bei unklaren Röntgenbefunden kann auch eine Computertomographie (CT) oder Kernspintomographie (MRT) sinnvoll sein.
Welche Schmerzen treten bei einer Pseudarthrose auf?
Schmerzen treten vor allem im Bereich der betroffenen Knochen auf. Weiters treten Instabilität sowie Einschränkungen der Beweglichkeit auf.
Welche Folgen hat eine Pseudarthrose?
Zu den Folgen von Pseudarthrose zählen dauerhafte Funktionseinschränkungen sowie anhaltende Schmerzen. Bei Einschränkungen im Alltag sollte an eine Operation gedacht werden.
1 Everding et. al, Extrakorporale fokussierte Stoßwellentherapie zur Behandlung von Pseudarthrosen Neue Erfahrungen mit einer alten Technologie, Der Unfallchirurg | Ausgabe 11/2017
2 Großner, T., Schmidmaier, G. Konservative Therapieoptionen der Pseudarthrosen. Unfallchirurg 123, 705–710 (2020). https://doi.org/10.1007/s00113-020-00851-1
3 Brcic I, Pastl K, Plank H, Igrec J, Schanda JE, Pastl E, Werner M. Incorporation of an Allogenic Cortical Bone Graft Following Arthrodesis of the First Metatarsophalangeal Joint in a Patient with Hallux Rigidus. Life (Basel). 2021 May 24;11(6):473. doi: 10.3390/life11060473. PMID: 34073841; PMCID: PMC8225087.





