Sprunggelenksarthrose – hat man einmal Arthrose im Sprunggelenk ist man als Patient gut beraten sich über mögliche Behandlungsmöglichkeiten zu informieren. In diesem Experten-Ratgeber, von Prim. Dr. Norbert Freund, erfahren Sie alles über die Ursachen, Symptome sowie passende Behandlungsmöglichkeiten einer Arthrose im Sprunggelenk. Prim. Dr. Norbert Freund ist Vorstand der Abteilung für Orthopädie & orthopädische Chirurgie am Krankenhaus der barmherzigen Schwestern in Ried. Er erklärt wann konservative Therapien sinnvoll sind und wann er seinen Patienten eine Operation mit Shark Screw®, einer Schraube aus menschlichem Knochen empfiehlt.
Lesedauer: 5 min
Autor des Artikels: Prim. Dr. Norbert Freund
Facharzt für Orthopädie & Unfallchirurgie
Aktualisiert am 15.12.2022
Arthrose im Sprunggelenk und ihre Ursache

Grundlegend kann bei der Ursache der Arthrose im Sprunggelenk zwischen primärer und sekundärer Sprunggelenksarthrose unterschieden werden. „Die Ursache von sekundärer Arthrose im Sprunggelenk ist in vielen Fällen ein verjährter Bruch im Sprunggelenk. Man spricht hier auch von einer posttraumatischen Arthrose“, so der Arthrose Experte Prim. Dr. Norbert Freund. Sprunggelenksarthrose kann aber auch durch Fehlbelastungen und unbehandelte Fehlstellungen auftreten. In solchen Fällen spricht man von einer primären Sprunggelenksarthrose. Solche Fehlstellungen können zum Beispiel Plattfüße oder auch O oder X-Beine sein. Deutlich häufiger als das Sprunggelenk, sind Hüfte sowie Knie von Arthrose betroffen.
Welche Symptome treten bei einer Arthrose im Sprunggelenk auf?
Der Krankheitsverlauf von Arthrose im Sprunggelenk passiert in der Regel schleichend. Sind die Symptome im Anfangsstadium kaum bis gar nicht spürbar, können die Symptome bei fortgeschrittener Sprunggelenksarthrose massive Schmerzen und Schwellungen auslösen. Bei der posttraumatischen Arthrose im Sprunggelenk, kann es vorkommen, dass erst 10 Jahre nach dem Unfall Symptome auftreten. Anzeichen auf eine fortschreitende Sprunggelenksarthrose sind tiefgehende Schmerzen sowie deutliches Ziehen im Bereich des Sprunggelenks.
Auch Belastungsschmerzen nach längeren Spaziergängen oder Wanderungen können auf eine Arthrose im Sprunggelenk hinweisen. Bei anhaltenden Schmerzen im Sprunggelenk sollten Sie jedenfalls einen Orthopäden aufsuchen, um die Ursachen Ihrer Schmerzen abzuklären. Eine frühzeitige Therapie, konservativ oder operativ ist ausschlaggeben für Ihr persönliches Wohlbefinden.
Behandlung: Arthrose im Sprunggelenk - was tun?
Was tun bei Arthrose im Sprunggelenk? Eine Frage, die sich viele Patienten, die an Arthrose leiden stellen. Ob konservativ oder operativ behandelt wird, hängt vom jeweiligen Stadium der Arthrose ab.
Ist eine Operation der Arthrose im Sprunggelenk geplant, haben sich dafür Schrauben aus menschlichem Knochen bewährt. Sie werden in körpereigenen Knochen umgebaut. Ist eine konservative Therapie möglich, helfen in der Regel besondere Schuhmodelle oder Einlagen die Schmerzen zu lindern. Arthrose im Sprunggelenk – was tun? „Betroffenen empfehle ich einen Termin bei einem Experten für Sprunggelenksarthrose. Mit diesem gilt es die Ursache zu klären und ein persönliches Therapiekonzept zu entwerfen.“ So Prim. Dr. Norbert Freund aus Österreich.
Konservative Behandlung
Eine konservative Therapie kann nur bei Sprunggelenksarthrosen durchgeführt werden, bei denen Knorpel und Knochen noch keine erheblichen Schäden aufweisen. Ziel der konservativen Behandlung ist es, das Sprunggelenk so lange wie möglich zu erhalten und das Fortschreiten der Arthrose zu stoppen. Dabei können orthopädische Schuhen helfen, die die Abrollbewegung beim Gehen unterstützen. Auch Physiotherapie zur Schmerzlinderung kann gut helfen. Auch die Ernährung spielt eine entscheidende Rolle. Um das Gelenk entsprechend zu entlasten, könne auch Bandagen verwendet werden.
Sprunggelenksarthrose Operation
Arthrose im Sprunggelenk kann nur in den Anfangsstadien konservativ therapiert werden. Ist die Arthrose fortgeschritten hilft oftmals nur noch eine Operation, um die Schmerzen zu lindern. Dabei gibt es einige Operationstechniken sowie OP-Materialien, die bei einer Operation der Arthrose im Sprunggelenk eingesetzt werden können. Kommt es zu einer Operation sollten Sie sich als Patient ausreichend zu verschiedenen OP-Techniken informieren. „Bei Operationen von Arthrose im Sprunggelenk vertrauen wir bei unseren Patienten auf Shark Screw® eine Schraube aus menschlichem Knochen. Sie hat bei unseren Patienten besonders gute Ergebnisse & Heilungen gezeigt.“ So Prim. Dr Norbert Freund. Hier finden Sie einen Vortrag von Prim. Dr. Norbert Freund zur Operation der Sprunggelenksarthrose mit Schrauben aus Knochen.
Operationstechniken
Sprunggelenks-Arthrodese (Gelenkversteifung):
Die Sprunggelenks-Arthrodese wird als Standardbehandlung für die Arthrose im Sprunggelenk bezeichnet und gemeint ist damit die Versteifung des oberen oder unteren Sprunggelenks. Die arthrotischen Gelenksflächen werden entknorpelt und im Anschluss mit Schrauben aus menschlichem Knochen verbunden. Durch das 100% biologische Knochenmaterial, haben Patienten die bestmöglichen Voraussetzungen für eine rasche Heilung. Nach dem Zusammenwachsen beider Knochen kann der Fuß wieder voll belastet werden und ermöglicht so wieder das schmerzfreie Gehen.

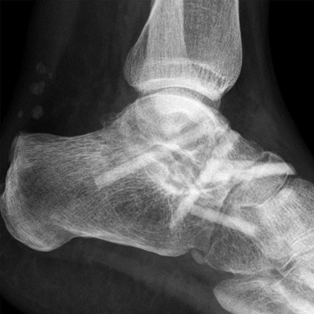
Triple-Arthrodese 8 Wochen postoperativ mit Shark Screw®

Triple-Arthrodese 12 Monate postoperativ mit Shark Screw®

Bild einer OSG & USG Arthrodese mit zwei Metallschrauben 3 Monate nach der Operation. Freundlich zur Verfügung gestellt von Prim. Dr. Norbert Freund.
Achskorrektur am Sprunggelenk (Osteotomie):
Bei dieser Technik werden Fehlstellungen im Fuß oder im Bein korrigiert um Fehlbelastungen des Gelenks zu beheben. Dadurch kann sich das Gelenk und die fehlbelastetet Knorpelregion teilweise regenerieren. Das Fortschreiten der Arthrose kann dadurch gebremst oder verhindert werden.
Sprunggelenksprothese
Bei dieser Technik wird das Gelenk durch ein künstliches Gelenk ersetzt. Bei jüngeren oder sportlich aktiven Patienten, oder Patienten mit Osteoporose und Fußfehlstellungen ist von dieser Operationsmethode abzuraten. Im Gegenteil zu Hüftprothesen oder Knieprothesen, die in der Regel auch über 20 Jahre im Körper verbleiben können, sind die Ergebnisse bei Sprunggelenksprothesen noch deutlich schlechter. Sprunggelenksprothesen müssen in vielen Fällen nach 5 – 10 Jahren entfernt werden, da diese den Halt im Knochen verlieren.

Arthrose im Sprunggelenk

Sprunggelenksprothesen
Sprunggelenksarthrose Erfahrungsbericht
Welche Erfahrungen haben andere Menschen bei Sprunggelenksarthrose gemacht? Erfahren Sie in den folgenden Videos & Erfahrungsberichten, wie andere Menschen Ihre Schmerzen und Symptome in den Griff bekommen haben.
Shark Screw® bei Arthrose im Sprunggelenk – natürlich Knochenheilung
„Im Gegensatz zu Metallplatten und Metallschrauben wird die Shark Screw® in wenigen Monaten zu eigenem Knochen umgebaut. Die sogenannten Havers-Kanäle im Knocheninneren der Schraube ermöglich diese natürliche Knochenheilung. In diesen Kanälen können sich nach dem Einbringen der Schraube Knochenzelle und körpereigene Gefäße ansiedeln und wachsen. Durch diese Methode ersparen sich alle Patienten eine mögliche zweite Operation zur Metallentfernung bei Metallschrauben.“ So Prim. Dr Norbert Freund. Mehr Infos zur Shark Screw® bekommen Sie von Dr. Klaus Pastl in diesem Video:

Der Autor - Prim. Dr. Norbert Freund
Prim. Dr. Norbert Freund ist Facharzt für Orthopädie Unfallchirurgie und Abteilungsleiter für Orthopädie im Krankenhaus Barmherzige Schwestern in Ried.


