Sie sind es, die Ihren Patienten*, mit dem Einsatz von Shark Screw® das Risiko einer zweiten Operation zur Metallentfernung ersparen und so deren Lebensqualität deutlich verbessern können. Mit Fingerspitzengefühl und Präzision gehen Sie tagtäglich im OP-Saal ans Werk. Werden Sie zum Shark Screw® Hero Ihrer Patienten. Profitieren Sie von Shark Screw® Fortbildungsprogrammen, bei denen Sie Ihre OP-Skills trainieren und erweitern können.

2016 wurden allein in Österreich 22.010 stationäre und 16.500 tagesklinische Metallentfernungen durchgeführt.3 Die Kosten eines tagesklinischen Einsatzes beliefen sich dabei auf rund 2.350€ pro Patient. Nach einer solchen Metallentfernung waren Patienten im Ø 15,66 Tage im Krankenstand. Bei stationär durchgeführten Metallentfernungen betrug der durchschnittliche Krankenstand nach der zweiten Operation Ø 35,09 Tage.4 Als Shark Screw® Hero können Sie das Risiko einer möglichen Metallentfernung bei Ihren Patienten vermeiden und dadurch Krankenstände und wertvolle Ressourcen für die Gesellschaft sparen. Schreiben Sie das erste Kapitel Ihrer eigenen Shark Screw® Story.
Bis 2030 soll mehr als 5.000 Chirurgen* die Möglichkeit gegeben werden, das Arbeiten mit Shark Screw® zu trainieren und zu erlernen. Damit sollen mehr als 500.000 Patienten geheilt und diesen das Risiko einer zweiten Operation erspart werden. Werden Sie zum Shark Screw® Hero und damit das Rückgrat der Osteosynthese von heute und morgen.
Regelmäßig sammeln Shark Screw® Heros tausende neue Erfahrungen und neue Daten zur Shark Screw® in verschiedensten Wissens- und Anwendungsgebieten. Informieren Sie sich zu daraus gewonnenen, veröffentlichten Erkenntnissen in wissenschaftlichen Studien oder klinischen Case Reports, damit vor allem Sie und Ihre Patienten davon profitieren können. Regelmäßig finden Sie alles Wissenswerte unter anderem auf dem surgebright Instagram Kanal.
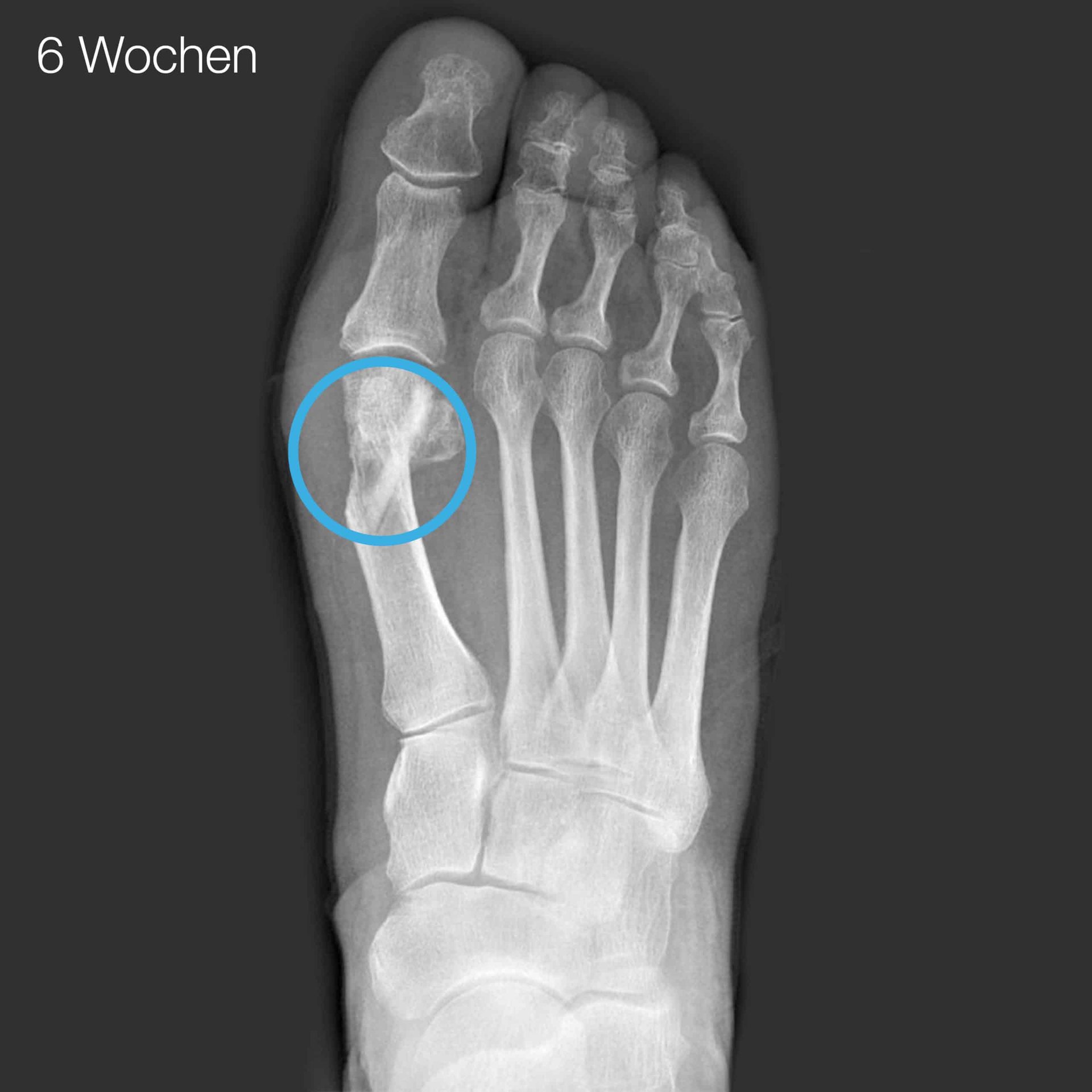
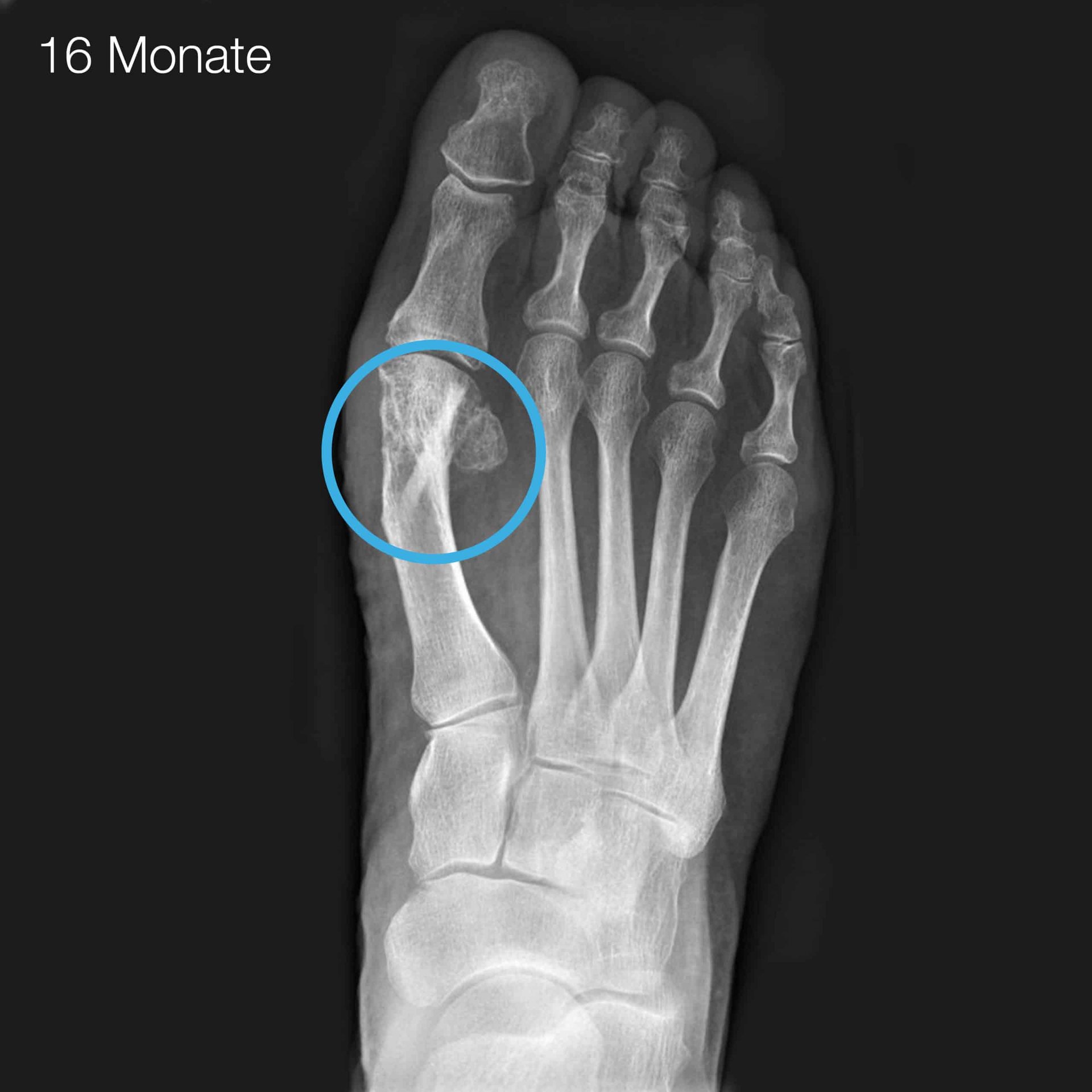
Als Shark Screw® Hero nützen Sie die natürlichen Vorteile intakter Havers-Kanäle und Co-Spaces in der Shark Screw®. Damit setzen Sie eine solide Knochenbrücke mit feinsten Kanälen und Co-Spaces über die und in welche Zellen wandern können. Dadurch wird primäre Knochenheilung zwischen Shark Screw® und Empfängerknochen sowie ein Remodeling der allogenen Knochenschraube möglich.1 Von diesen Eigenschaften profitieren Sie und Ihre Patienten vorzugsweise bei Arthrodesen, Frakturen, Pseudarthrosen und Umstellungen. Einen Auszug aus relevanten Studien zur Shark Screw® finden Sie hier.

Die elektronenmikroskopischen Bilder zeigen die natürliche Struktur der Shark Screw®. Havers-Kanäle bieten dem Empfängerknochen nach Einbringen die Möglichkeit, Anschluss an das Transplantat zu finden. (TU Graz FELMI Prof. DI. Dr. Plank)
Die Welt der Shark Screw® wächst Tag für Tag. Um Ihren Patienten eine Versorgungsmöglichkeit anzubieten, die ohne das Risiko einer zweiten Operation auskommt, unterstützen wir Sie, wo wir können. Bis dahin erfahren Sie aktuelle Neuigkeiten auf den Social-Media-Kanälen Ihrer Wahl.
1 I. Brcic, K. Pastl, H. Plank, J. Igrec, J. E. Schanda, E. Pastl, M. Werner. Incorporation of an Allogenic Cortical Bone Graft Following Arthrodesis of the First Metatarsophalangeal Joint in a Patient with Hallux Rigidus Life (2021)
2 Evelyn Walter, Karin Schalle & Marco Voit. (2016). Cost-Effectiveness of a bone transplant fixation “SHARK SCREW” transplant compared to metal devices in osteosynthesis in Austria. ISPOR 19th Annual European Congress. Vienna: IPF Institute for Pharmaeconomic Research
3 Statistik Austria (2016)
4 Auskunft der OÖ Gebietskrankenkasse LGKK OÖ (2018)
* Mit dem jeweiligen Wortlaut sollen alle Geschlechter gleichermaßen angesprochen werden.






































