Die folgende Falldokumentation zeigt den prä- und postoperativen Verlauf von der Korrektur einer Hallux valgus Fehlstellung. Der Intermetatarsalwinkel liegt bei dem belasteten Fuß deutlich unter 20°, sodass die subcapitale Metatarsalosteotomie nach Austin zur Anwendung kommt. Postoperativ erfolgte die Ruhigstellung mit einem Hallux-Schuh für 2 Wochen ohne Belastung und danach für 4 Wochen mit Teilbelastung.

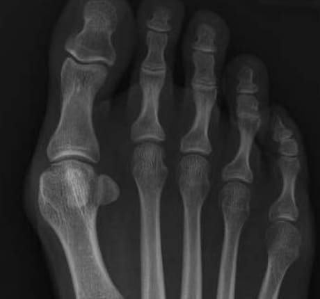
Röntgenbild präoperativ
Hallux valgus, rechts

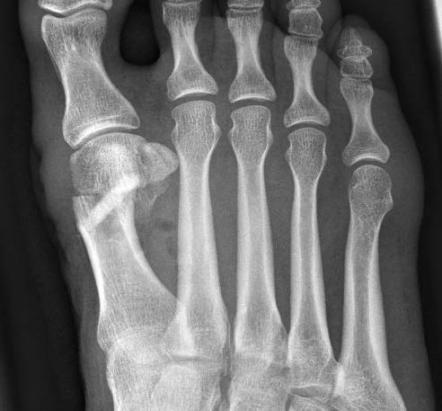
Röntgenbild postoperativ, schräg
Liegendes Shark Screw® Transplantat erkennbar. Korrektur durch subcapitale Metatarsalosteotomie nach Austin.

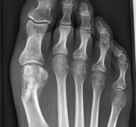
8 Wochen postoperativ
Guter Durchbau der Osteotomie und guter Halt des Transplantats.

6 Monate postoperativ
Guter Ein- und Umbau der Knochenschraube - Transplantat nur mehr rudimentär sichtbar.

