Die nachfolgende Falldokumentation schildert den medizinischen Verlauf einer Knorpel-Knochennekrose am medialen Femurkondylus des linken Kniegelenks. Da die 41-jährige Patientin an einer sehr großen (2×3,5cm) und tiefen (8-10mm) Knorpel-Knochennekrose leidet, wird eine „fresh-frozen“- Knorpel-Knochentransplantation durchgeführt. Die nekrotischen Areale werden angefrischt und angebohrt. Anschließend wird mit Knochenwachs ein Abdruck des Defekts abgenommen, das Transplantat auf die Größe des Abdrucks mit Hilfe einer Hallux-Säge nachgefertigt und mit vier humanen Knochenschrauben-Transplantaten fixiert.

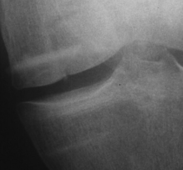
Röntgenbild präoperativ
Tiefer Defekt am medialen Femurkondylus des linken Kniegelenks.

Situs intraoperativ
Vor Entfernung des nekrotischen Gewebes sowie vor Anfrischen und Anbohren.

Situs intraoperativ
„Fresh-Frozen“-Transplantat ist eingebracht. Knochenschrauben-Transplantat in der interkondylären Notch.

Situs intraoperativ
6 Monate postoperativ Knochenschrauben-Transplantate sind gut sichtbar. Keine Osteolysen erkennbar.

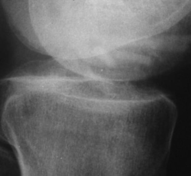
6 Monate postoperativ
Röntgenkontrolle seitlich. Transplantat ist eingewachsen.

16 Jahre postoperativ
Mäßige mediale Arthrose bei guter knorpeltragender Schicht, Patientin ist beschwerdefrei.
Klinischer Fall von Dr. Klaus Pastl, Linz in Österreich. „Fresh-frozen“-Knorpel-Knochentransplantation am medialen Femurkondylus mit vier Knochenschrauben-Transplantaten. (Dokumentationszeitraum 1995-2011) © surgebright GmbH

