Die folgende Falldokumentation veranschaulicht den medizinischen Verlauf einer Four-Corner-Fusion beim SNAC-Wrist, ausgelöst durch eine Scaphoidfraktur. Der 50-jährige Patient leidet vor der Operation an Bewegungs- sowie Ruheschmerzen und weist dementsprechende Bewegungseinschränkungen im Handgelenk auf. Nach Resektion des Scaphoids erfolgt die Four-Corner-Fusion mit drei humanen Knochenschrauben-Transplantaten. Nach 6-wöchiger Ruhigstellung im Unterarmgips, wird mit der Heilgymnastik begonnen. Ein Jahr nach der Operation sind nur noch Spuren des Knochenschrauben-Transplantats erkennbar. Der Patient ist schmerzfrei und die Beweglichkeit ist geringfügig verbessert.

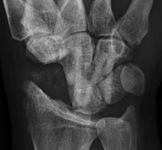
Röntgenbild präoperativ
SNAC-Wrist mit Bewegungs- und Ruheschmerzen.

4 Tage postoperativ
Röntgenbildkontrolle nach Resektion des Scaphoids und Four-Corner-Fusion mit 3 Knochenschrauben-Transplantaten.

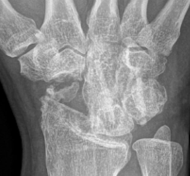
6 Wochen postoperativ
Röntgenbild bei Gipsabnahme. Der beginnende Durchbau ist noch nicht sicher zu erkennen.

4 Monate postoperativ
Guter knöcherner Durchbau. Knochenschrauben-Transplantate beginnen mit Empfängerknochen zu verschmelzen.

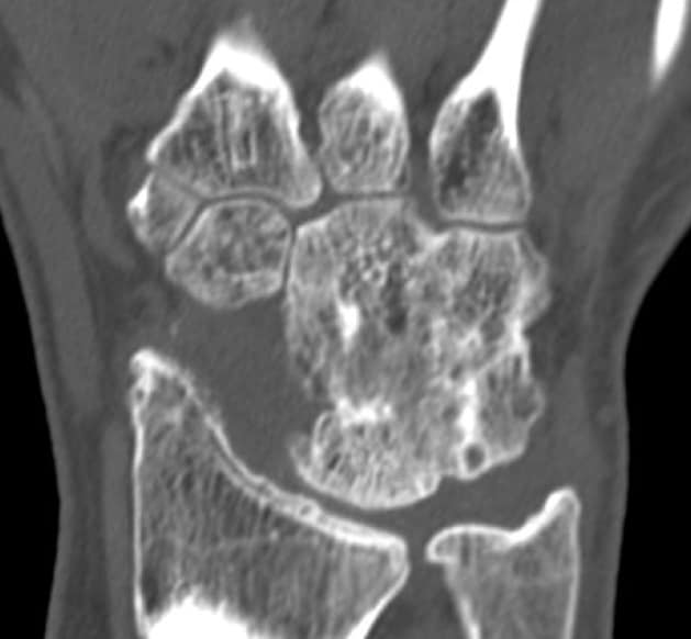
CT 1 Jahr postoperativ
Fusion ist vollständig durchbaut. Keine Osteolysen oder Resorptionszonen. Patient ist schmerzfrei.
Klinischer Fall von Dr. Klaus Pastl, Linz in Österreich. Four-Corner-Fusion mit drei humanen Knochenschrauben-Transplantaten (Dokumentationszeitraum 2010-2011) © surgebright GmbH

