Die nachstehende Falldokumentation schildert die chirurgische Behandlung einer Tarsometatarsal (TMT) Arthrose II und III. Die 77-jährige Patientin hat Belastungs- und Abrollschmerzen am Fußrücken im Fußwurzelbereich. Die Lebensqualität ist zunehmend eingeschränkt, die Gehstrecke schmerzbedingt verkürzt. Nach mehrmaliger erfolgreicher Infiltration, die kurzfristig Schmerzfreiheit brachte, entscheidet sich die Patientin für die Arthrodese der TMT Gelenke II und III mit je einem humanen Knochenschrauben-Transplantat. Nach der Operation erfolgte die Ruhigstellung in einem Hallux-Schuh für sechs Wochen.

CT präoperativ
Zur Verifizierung der Arthrose.

CT präoperativ
Zeigt deutliche Arthrose im TMT Gelenk.

CT präoperativ
Zeigt deutliche Arthrose im TMT Gelenk.

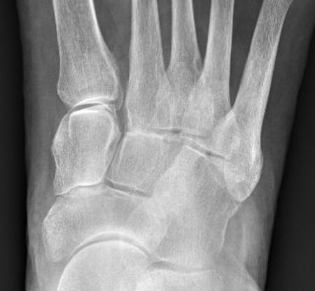
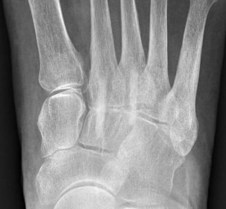
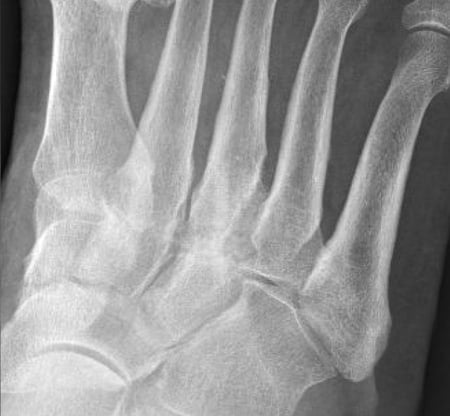
Röntgenbild präoperativ
Im Kontrollröntgen zeigt sich die Arthrose deutlich.

Röntgenbild postoperativ
Versorgung der Arthrose mit Shark Screw® Transplantaten 5,0mm.

6 Wochen postoperativ
Optimale Lage der Transplantate, beginnender Duchbau der Arthrodese.

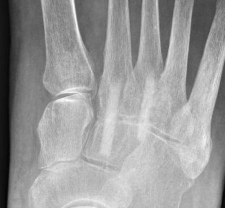
3 Monate postoperativ
Guter Durchbau der Arthrodesen, staile Lage der Shark Screw® Transplantate, keinerlei Osteolysen.

6 Monate postoperativ
Guter Durchbau, die Transplantate werden mehr und mehr in eigenen Knochen umgebaut.

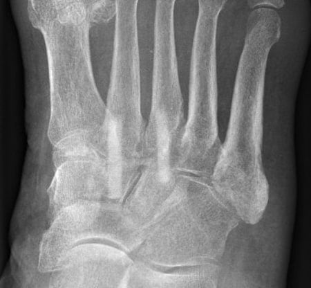
1 Jahr postoperativ
Vollständige reaktionslose Arthrodese der TMT Gelenke II und III, die Shark Screw® Transplantate kaum noch sichtbar, es ist daraus patienteneigener Knochen entstanden.
OP-Technik & Verlauf
Nach Darstellen der TMT II und III Gelenke unter Bildwandlerkontrolle wird der Gelenksspalt mit Spreizzange aufgehalten und der restliche Gelenksknorpel mit einem scharfen Löffel entfernt. Der darunterliegende sklerotische Knochen wird mit einem dünnen Bohrer angebohrt. Nachdem sich die beiden Gelenke gut aufeinander einstellen lassen, erfolgt das Setzen der KD unter Bildwandlerkontrolle. Zusätzliches Einbringen eines temporären KD für die stabile Fixierung der Gelenke für die Zeit des Bohrens und Gewindeschneidens. Knochen in diesem Fall extrem weich. Das dicke Transplantat mit 5mm erleichtert die Arthrodese, da das Feingewinde in dem dünnen Knochen, der fast tangential angebohrt wird sehr guten Halt hat. Sehr stabile Osteosynthese. Der Gelenksspalt vollständig geschlossen. Eine metallische Zugschraube würde in dem weichen Knochen ausreißen. Der durch den Operateur vorgegebene Druck auf das Gelenk iat vollkommen ausreichend, um die Gelenksflächen optimal aufeinander zu stellen.
Vorteile bei dieser OP
kein Metall, Kopf wird introperativ auf Knochenniveau abgesetzt und dadurch werden die umgebenden Weichteile geschont. Deshalb weniger Schmerzen für die Patientin. Da der Knochen sehr weich war und große Zysten aufwies, bestand nach der Transplantation der 5,0mm dicken Shark Screw® eine sehr verlässliche und stabile Knochenbrücke. Metallschrauben und Metallplatten tragen in diesem Bereich sehr stark auf, arrodieren die Sehnen. Der Halt von metallischen Schrauben wäre fraglich gewesen.
Subjektive Patientenzufriedenheit
Patientin hatte keine Schmerzen im postoperativen Verlauf, volle Belastbarkeit nach 6 Wochen. Konfektionsschuhe haben nach 6 Wochen wieder gepasst. Sie war mit der Erstoperation so zufrieden, dass sie 3 Monate später die zweite Seite operieren lies.

